Aşı olmayan gençler ciddi tehlike altında!
Göğüs Hastalıkları Uzmanı Prof. Dr. Şevket Özkaya, aşı olmayan gençlerde ciddi akciğer tutulmalarının yaşandığını ve kovid servislerinin genç hastalarla dolduğunu belirtti.
Kovid-19 vakaları yeniden bir artış eğilimine girerken kapanan kovid servisleri aşısız gençlerle tekrardan hareketlenmeye başladı. Binlerce kovid hastasını iyileştirmiş VM Medical Park Samsun Hastanesi Göğüs Hastalıkları Kliniği'nden Prof. Dr. Şevket Özkaya, vaka sayılarının düşmesinden dolayı insanların hastalığı bilinç altına atarak kontrolsüz sosyal hayat yaşadıklarını belirtti.
Aşı ve delta virüsü ile beraber hasta profilinin değiştiğini ifade eden Prof. Dr. Özkaya, "Deltanın hızlı yayılması sebebiyle gençlerde ve aşı olmayanlarda yaygın bir şekilde hastaneye yatışlar var. Kapanan çoğu kovid servisleri tekrar açılmaya başladı.

Hasta profilleri de artık 20 ile 30 yaş arasındaki bireylere kaymaya başladı. Bu yüzden son 2 ayda hastalığın azalmasıyla insanlar hastalığı hem inkar ediyorlar hem de aşı endişesini yaşıyorlar. Bu inkara dokunmamız lazım. Bu hastalık gençleri etkiliyor. Eskisi gibi 65 yaş üstü vatandaşlar riskli diyemiyoruz artık. Özellikle aşı olmayan gençlerimiz risk altında ve yatan hastalarımız gençlerden oluşuyor" dedi.

"Geçmişte hastaların yatacak yer bulamadığı dönemdeki hasta profilini görmeye başladık"
Gelenlerin çok ciddi akciğer tutulumların olduğuna dikkat çeken Özkaya, "Geçtiğimiz sene aşı bağışıklık oluşturacak mı diye herkesin endişesi vardı. Doğal olmayan bir virüse karşı geliştirilen aşı gerçekten insanları koruyacak mı diye hepimizi endişeliydik ama aşı geldikten sonra ölüm oranlarının belirgin şekilde azaldığını görünce aşının gerçekten işe yaradığını gördük. Son 2 ayda vakalar azalınca insanları hastalığı bilinç altlarına atarak kontrolsüz sosyal hayatlarına devam ettiler. Bunun sonucunda geçmişte hastaların yatacak yer bulamadığı dönemdeki hasta profilini görmeye başladık. Gelenler ciddi akciğer tutulumları ile geliyor" diye konuştu.

"Aşı olunması şart"
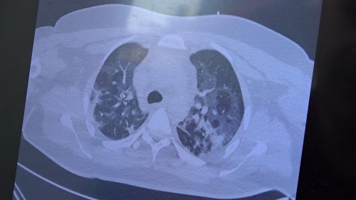
Gençlerin akciğer tomografilerini inceleyen Özkaya, "İki vaka örneği hakkında bilgi vermek istiyorum. İnsanlara bu işin bitmediğini anlatmamız lazım. 30 yaşında aşı olmamış bir hastamızın filminde çok yaygın akciğer hasarı var. Şu an kendisi yoğun bakımda tedavi alıyor. Öte yandan 25 yaşında bir hastamız var. İki doz kovid aşısını da olmamış. Ciddi akciğer tutulumları var. Çok ciddi solunum sıkıntısı ile kovid servisinde yatıyor. Şu an hasta profilimizin büyük bir kısmını bu durum oluşturuyor” ifadelerini kullandı.

Türkçe karakter kullanılmayan ve büyük harflerle yazılmış yorumlar onaylanmamaktadır.