Uyuşturucuyu cinsel organlarına gizleyen şahıslar tutuklandı
İzmir Adnan Menderes Havalimanı’nda, uyuşturucuları prezervatifler içine koyup cinsel organına gizlediği tespit edilen Alman uyruklu genç kadın ile uyuşturucuları anüsüne yerleştirdiği belirlenen diğer Alman uyruklu erkek şahıs tutuklandı.
Edinilen bilgiye göre olay, İzmir Adnan Menderes Havalimanı’nda meydana geldi. İzmir İl Emniyet Müdürlüğüne bağlı Narkotik Suçlarla Mücadele Şube Müdürlüğü ekipleri, yurt dışından kentte uyuşturucu madde getirileceği bilgisinin edinilmesi üzerine operasyon başlattı.

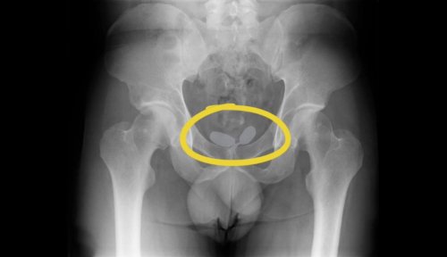
KADININ CİNSEL ORGANINDAN, ERKEĞİN ANÜSÜNDEN UYUŞTURUCU ÇIKMIŞTI
Alınan istihbarat doğrultusunda 2’si yabancı uyruklu toplamda 5 kişi yakalanarak gözaltına alınmıştı. Yapılan röntgen muayenesinde, uyuşturucu kaçakçılarının akıl almaz oyunu ortaya çıkarken, röntgen muayenesinde, Alman uyruklu kadının cinsel organında prezervatifler içerisine gizlenmiş uyuşturucular ele geçirildi. Diğer Alman yabancı uyruklu erkeğin ise uyuşturucuları anüsüne gizlediği belirlendi. Yapılan muayene sonrası; 21,19 gram eroin, 12,70 gram kokain, 7,76 gram amfetamin, 7 adet sentetik ecza ele geçirilirken, operasyon anları ise kameralara yansımıştı.

TUTUKLANDILAR
Operasyonda yakalanan 2’si yabancı uyruklu olmak üzere 5 şüpheli, emniyetteki işlemleri tamamlandıktan sonra adliyeye sevk edildi. Şüphelilerden Almanya vatandaşı A.D.M. ve F.M. tutuklandı, diğerleri adli kontrol şartıyla serbest bırakıldı.


Türkçe karakter kullanılmayan ve büyük harflerle yazılmış yorumlar onaylanmamaktadır.